Conditions Treated & Procedures Performed
Orthopaedics
Angular Limb Deformities
Carpal and Tarsal Injuries – arthrodesis
Cruciate Ligament Rupture – TPLO / CCWO
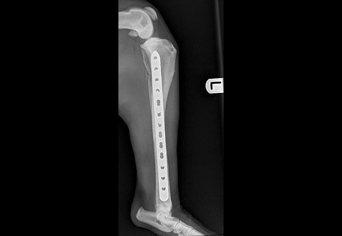
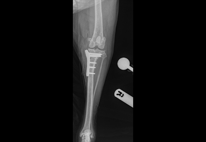
Fractures
Growth Plate Deformities
Hip Dysplasia and Dislocation
Humeral Intracondylar Fissure
Joint Disease
Lameness
Patellar, Hock, Stifle and Elbow Luxation
Stifle and Shoulder Instabilities
Tendon Injury
Spinal
Cervical Spondylomyelopathy (Wobbler Syndrome)
Feline orofacial pain syndrome
Fibrocartilaginous embolism
Intervertebral Disc Disease
Meningitis, Encephalitis, and Encephalomyelitis
Steroid responsive meningitis-arteritis
Tumours affecting the nervous system
Neurological Investigations
Thoracolumbar Hemi-Laminectomy
Ventral Slot
Dorsal Laminectomy
Spinal Stabilisation
Cerebral Spinal Fluid Taps
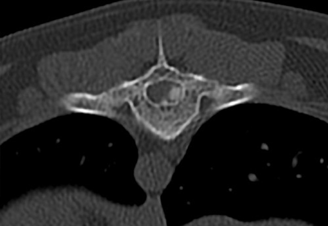
CT Scans
Soft Tissue
Anal Gland Neoplasia or anal sacculitis
Bladder Stones and other Urinary Tract Disease – cystotomy / perineal urethrostomy
Brachycephalic Obstructive Airway Syndrome
Cherry Eye
Cholecystectomy
Complex tumour removal
Diaphragmatic Hernia
GDV – Gastropexy
Laryngeal Tie-back
Perineal Hernia
Portosystemic Shunt
Skin graft
Splenectomy
Stomach and Intestinal Blockage, Disease or Injury (including linear foreign body) – enterotomy / gastrotomy / anastomosis
Thyroidectomy
Total Ear Canal Ablation (TECA) and Bulla Osteotomy (BO)
Salivary Gland Removal
Imaging and Consultations
CT Scanning
Echocardiography
Endoscopy
Arthroscopy
Radiography
Initial consultations, investigations and re-examinations













