Case Studies – Denzyl
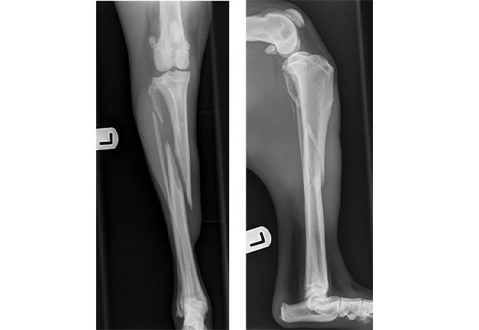
Denzyl presented as an emergency after he had been playing, jumped, cried out and suddenly was unable to weight bear on his left hind limb. On examination, his tibia palpated as crepitant, with large amounts of swelling. He was administered pain relief and sedated for radiography. Images showed unstable oblique fracture of the tibia and fibula.
Internal fixation was recommended to address this injury. Within 24 hours of presentation, Denzyl underwent surgery wherein the tibia was reconstructed with screws and a plate.

Oblique fracture of the left tibia and fibula

Fracture repaired with Locking Compression Plate
He was hospitalised for further pain relief for a second night and went home with strict rest orders. Denzyl attended hydrotherapy once his surgical wound was healed and now he’s fully-healed and living his best life!



